Paciente de 46 años acude a la consulta interesado en reponer las piezas ausentes.
Diagnóstico
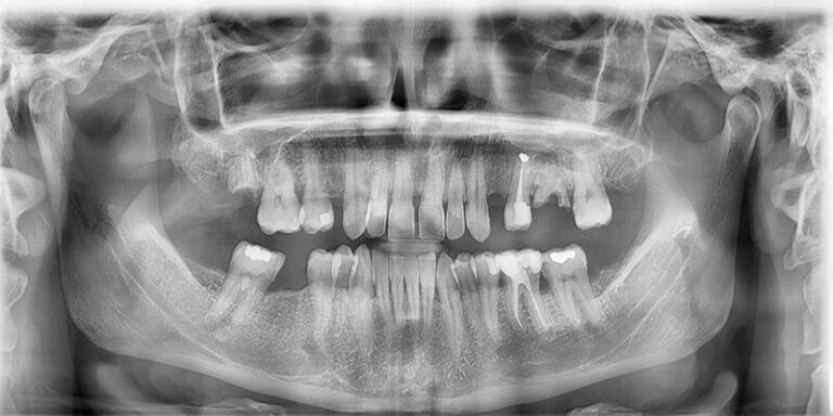
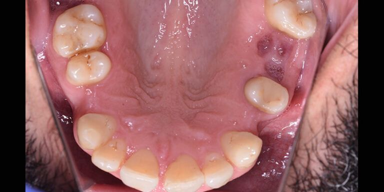
En la primera visita se le diagnostica y presupuesta la exodoncia de restos radiculares en 17 y 26 y la realización de curetajes en ambas arcadas, así como la obturación de 2 caries proximales en 27 y 37.
También se le explica la necesidad de una fase ortodóncica previa a la reposición protésica de las piezas ausentes 14,24,26 y 46, cuyo objetivo es la alineación del sector anterior superior y la intrusión del mismo, especialmente del 23 y el cierre de los diastemas presentes, centrando la línea media y mejorando los espacios para la colocación de los respectivos implantes y sus correspondientes coronas.
Dado que no se manifiesta interesado en la parte estética, solo acepta el tratamiento superior antes expuesto rechazando tratamiento de la arcada inferior.
Plan de tratamiento
Los modelos digitales y registros de mordida se realizaron a partir de escaneados intraorales.
Se dieron las instrucciones para alinear y nivelar los seis dientes anteriores superiores, cerrando los espacios hacia mesial y mejorando la sobremordida con intrusión de los incisivos y especialmente del 23 que estaba más extruido.
El stripping en incisivos laterales superiores e incisivos inferiores no debía ser mayor a 0.3mm por lado.
El tratamiento se llevó a cabo en una primera fase de 12 alineadores Recode durante 4 meses.
Habiéndose conseguido los objetivos principales, persistió un ligero diastema entre 11 y 12 y fue necesario un ajuste del contacto 22-23 por lo que se decidió hacer un refinamiento de solo 4 alineadores Recode durante 30 días.
Concluido el refinamiento, se colocó un retenedor Zendura FLX con ligera corrección para consolidar los puntos de contacto manteniendo los ataches en posición.
Al cabo de dos meses se colocan los implantes, 4 Biomimetic Ocean CC de conexión cónica, 3 en maxilar y uno en mandíbula y se confeccionó un nuevo retenedor pasivo sin ataches con alivio de la encía en la zona quirúrgica.
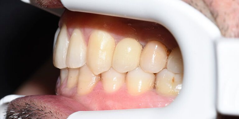
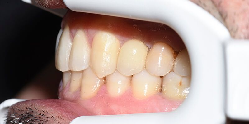
Los implantes se cargaron al cabo de dos meses con coronas de zirconio monolítico cemento atornilladas sobre interfases de titanio Avinent.
Una vez terminado el tratamiento, se escaneó de nuevo al paciente para confeccionar una férula de descarga.
Conclusiones del caso
El paciente se mostró muy satisfecho con la evolución del procedimiento y el resultado obtenido, habiendo recuperado la funcionalidad del sistema estomatognático y con una evidente mejoría a nivel estético, gracias al tratamiento multidisciplinar con RECODE Aligners e implantes AVINENT que ha resultado ser rápido y efectivo, consiguiendo un resultado altamente satisfactorio.

























