Introducción
Una de las situaciones a las que debemos hacer frente en nuestra práctica diaria, es la limitación de espacio interdental en sentido mesio-distal que nos impide la colocación de implantes de métrica estándar. Para solventar este problema y evitar tener que recurrir a la prótesis fija dento-soportada o la prótesis removible, existe hoy en día la posibilidad de hacer uso de los implantes de diámetro reducido, que como veremos a continuación, son una excelente herramienta para solucionar casos en los que la distribución del espacio sea nuestra principal dificultad.
Caso clínico
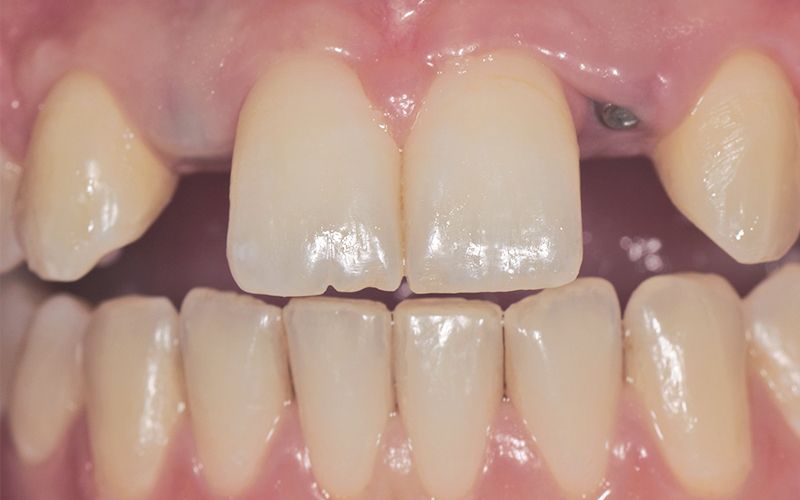
Paciente mujer de 16 años acude a la clínica por motivo de agenesia de los incisivos laterales superiores 12 y 22. La paciente no presentaba antecedentes médicos de interés y a la exploración clínica y radiográfica se observó que gozaba de una excelente salud oral. Derivamos a la ortodoncista que, tras un estudio pertinente, inició un tratamiento con brackets para tratar de lograr el espacio máximo entre los centrales y caninos con el propósito de colocar dos implantes a futuro.
Tras dos años de tratamiento ortodóncico se volvió a valorar la situación en la que se encontraba la paciente y se decidió esperar aproximadamente un año más para llevar a cabo la colocación de los implantes. El motivo fue asegurar el completo desarrollo óseo del maxilar de la paciente.





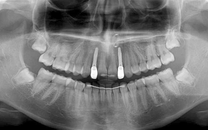
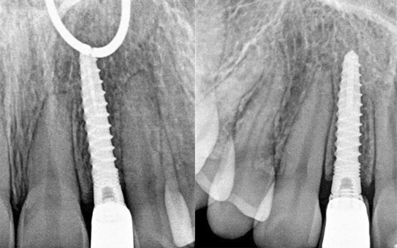
Al cabo de todo este tiempo se realizó un CBCT maxilar para iniciar la planificación de la cirugía de colocación de dos implantes en posición de 12 y 22. Durante el análisis de las imágenes radiográficas, tal y como indican las mediciones que se realizaron, se observó una limitación de espacio en sentido mesio-distal entre 11 – 13 y 21 – 23, que iba a impedir la colocación de dos implantes estándar de 3.3 mm de diámetro.
Dadas las circunstancias y para buscar una resolución óptima del caso, se decidió utilizar implantes Biomimetic Pearl de diámetro reducido de 2.8 mm de Avinent Implant System. Estos mini-implantes disponen de una línea protésica para rehabilitaciones unitarias y, dentro de su amplia gama, encontramos el que se ajustaba mejor a las exigencias del caso, permitiendo mantener perfectamente la distribución de espacio para poder respetar la biología de la rehabilitación.
Se llevó a cabo la cirugía de colocación simultanea de los implantes Pearl de 2.8 x 13 mm en posición de 12 y 22 siguiendo el protocolo indicado por la casa comercial. Estos fueron colocados con éxito a pesar de que las condiciones anatómicas no eran muy ventajosas, consiguiendo 30 Ncm de torque en ambos.

Durante el periodo de osteointegración de los implantes y hasta el inicio de la fase protésica, la paciente mantuvo la prótesis provisional que llevaba desde la finalización del tratamiento con ortodoncia. La prótesis elaborada por el laboratorio era una férula vacupress con dos dientes de resina para cubrir las ausencias del 12 y 22.




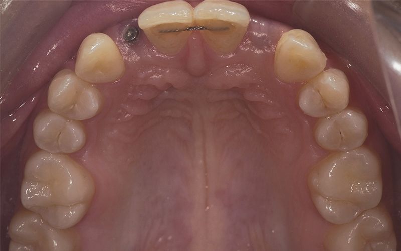
Tras tres meses de osteointegración, se procedió a realizar la segunda cirugía de ambos implantes y se tomaron las impresiones digitales con el escáner intraoral TRIOS (3Shape).



Se mandaron las impresiones a un laboratorio protésicos de confianza para la confección de unos provisionales mientras trabajaban en el diseño y confección CAD-CAM de las coronas definitivas de zirconio.
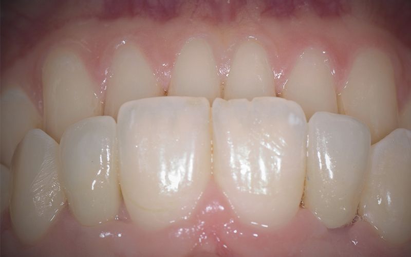
Las coronas de zirconio monolítico fresado con cut-back iban cementadas sobre dos bases de titanio previamente talladas para salvar el eje de inserción de los implantes.




Al cabo de unos días se hicieron los controles clínicos y radiológicos pertinentes y se procedió a cementar las dos coronas de forma definitiva dando por finalizada la rehabilitación por agenesia de los dos incisivos laterales 12 y 22.






Conclusión
El sistema Biomimetic Pearl permite tratar casos unitarios con limitación de espacio de una forma mínimamente invasiva y con una rehabilitación final que cumpla las expectativas tanto funcionales como estéticas de nuestros pacientes.
Actualmente el buen comportamiento clínico de los mini-implantes, de diámetro inferior a 3 mm, permiten ser utilizados de manera estable a largo plazo.
Agradecimientos:
Laboratorio Prótesis y Estética Dental Juan Manuel Cuevas (Huesca)





