Introduction
Currently the survival results of immediate post-extraction implants in the anterior sector can be similar to conventional deferred treatments. Nevertheless, the result may be polemic in terms of stability of the tissues and final aesthetics of the gums, indicating variations depending on the techniques.
The use of vertical and horizontal maintenance techniques for the dimensions of the tissues, together with provisionalisation of the soft tissues, is crucial to achieve optimum aesthetic results, as can be seen in this clinical case, a result of the multidisciplinary work of the team at the dental clinic of Dr. Colmenero.
Clinical case
We present multidisciplinary work by the Clínica Dental Colmenero where the team of professionals provided their knowledge, time and skills to give one of their favourite patients her smile back.
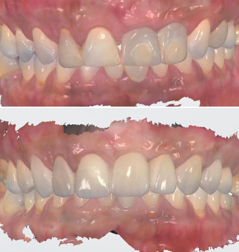
Initial images of the case Initial images of the case Images and initial X-ray of the case
Female patient aged 45 years, with no medical history of interest, except surgery for a large odontogenic cyst in the mandible, operated on more than 10 years ago, attends with a radicular fracture of tooth 21. The patient presented prior deficient ceramic and metal restorations with asymmetric margins, and poor aesthetics and colour (fig 1, 2, 3).
After the diagnostic stage the treatment was proposed to the patient, consisting of extracting teeth 21 and 22 and the immediate placement of two implants with the alveolar crest preservation technique and restoration of the gingival volume with grafts to achieve a good aesthetic result.
The surgery was performed under local anaesthesia, starting with the extraction of the two aforementioned teeth, a meticulous curettage of the alveolus and subsequent verification of the status of the vestibular plate.
Two Biomimetic Ocean IC (Avinent Implant System) implants with diameter 3.5 and length 11.5 mm were placed immediately, with good primary stability.
An alveolar crest preservation technique with xenografting was carried out and a connective tissue graft was placed to restore the gingival volume of the anterior sector and obtain the correct emergence height of the future teeth.

Tissue check 15 days post-surgery
Tissue check 15 days post-surgery
After 12 weeks the implants were uncovered and PMMA screw-mounted provisionals placed on a titanium base in positions 21 and 22 to begin to model the soft tissues.
Start of the soft tissue provisionalisation 2 months after implant placement
Start of the soft tissue provisionalisation 2 months after implant placement
The definitive restoration was designed digitally with aesthetic outlining of all the soft tissue of the anterior sector, and the screw-mounted crowns were made in stratified zirconium on titanium bases.
The treatment was completed with whitening and feldspar veneers at 11, 12, 13 and a new restoration in position 24 according to the digital design of the smile.


Screw-mounted crowns in the mouth
Screw-mounted crowns in the mouth

Details of the final complete restoration Details of the final complete restoration Details of the final complete restoration

The final result of the case shows the attractive outlines of the new restorations, with a very natural finish and a significant aesthetic improvement for the patient.
Conclusions
Correct management of the provisionalisation techniques is essential to achieve a suitable emergence profile that can guide and shape the periimplant tissue before the final restoration, and a defining factor for the success of the treatment and patient satisfaction as their expectations are met.
Initial images of the case Initial images of the case Images and initial X-ray of the case Tissue check 15 days post-surgery Tissue check 15 days post-surgery Post-placement ORP of the implants Start of the soft tissue provisionalisation 2 months after implant placement Start of the soft tissue provisionalisation 2 months after implant placement Digital Planning of the case Screw-mounted crowns in the mouth Screw-mounted crowns in the mouth Details of the tissues Final OPG of the restorations in the mouth







































